
※Revolution Apex Elite/Revolution Apex Core
開発の背景
日本では、悪性新生物、及び心疾患が死亡原因の1,2位となり*1、年間における全死亡者の41%以上を占めていることから、腫瘍・オンコロジー領域、及び心臓・循環器領域での早期診断および治療が長らく望まれていました。また近年では超高齢化と労働人口の減少が同時に進んでいることから*2、医療を取り巻く環境においても、人材確保、働き方改革、ワークシェアリング/タスクシフトなど労働環境改善・向上が必要となっています。このような中で、GEヘルスケアでは、これら疾患の早期発見を促し、かつ恒常的に支える医療現場の生産性向上に貢献する製品の開発に注力し、この度新たなCT装置Revolution Apex EliteおよびRevolution Apex Coreを発売する運びとなりました。
これら最新のCT装置は基本性能として重要となる低線量かつ高分解能・高速撮像・広範囲撮像に加え、付加価値の高い機能情報の提供、AI・自動化技術を用いた再現性の高い検査を効率良く運用することができることから、より精密で正確な検査・診断に貢献します。GEヘルスケアは、これら両製品の提供を通じて、引き続き、心臓・循環器領域、腫瘍・オンコロジー領域での微細構造の明瞭化、早期診断、定量的評価、手術に直結する術前画像シミュレーション、そしてAIを用いて労働環境・生産性向上に貢献してまいります。
製品特長
微細構造の明瞭化を実現し、さらなる診断能向上
画像診断機器におけるCT装置の優位性の一つとして、高い空間分解能があります。本製品はCT装置がもつ高い空間分解能のさらなる向上を追求し、High-Resolutionモードを搭載しています。本製品では、一般的なCT装置に用いられる個体検出器に比べて、100倍近い応答速度(プライマリースピード)と1/4の残光特性(アフターグロー)を有するGemstone™ Clarity Detectorを搭載していることから、秒間8914viewのサンプリングを実現、そしてX線焦点を偏向させながら従来比約2.5倍のデータを収集し画像再構成をすることで、空間分解能を向上させることが可能です。全身領域で高精細な画像提供が可能であり、微細構造をもつ部位においても、確信度の高い診断を支えます。

※Gemstone™ Clarity Detectorを用いたHigh Resolution Mode
循環器領域における0.23秒超高速回転の有用性
160mmワイドカバレッジCTの有用性が最も活かされる領域の一つとして、循環器領域・心臓CTが挙げられます。近年では、循環器臨床における治療、特に経カテーテル的治療の進歩により、冠動脈の評価だけでなく、弁や心房等、冠動脈以外の術前心臓CT評価のニーズも増えており、従来以上に心臓全体でのモーションアーチファクトの低減が重要となっています。このことからGEヘルスケアでは独自の動態ベクトル解析を用いたモーション抑制アルゴリズムSnapShot Freeze2.0(SSF2.0)により、心臓全体のモーションアーチファクトの抑制に取り組んできました。TAVI、経皮的僧帽弁クリップ術、更には三尖弁においても径カテーテル的治療の広がりが期待されていますが、三尖弁は薄く、また距離・位置的にも経食道心エコーでの評価が難しいケースがあります。Revolution Apex Eliteでは最速0.23秒回転を実現し、SSF2.0と組み合わせることで他モダリティでも評価が難しい領域の画像化も期待でき、これら技術が開胸を行わない非侵襲的治療の安全実施に貢献します。

※(左 ) SnapShot Freeze2.0の概念図
ターゲット心位相とその前後の心位相の合計3心位相のフェーズデータを用いて、心臓を構成する各ボクセルの 動態を3次元的にベクトル解析し、変化量をフィードバックし静止画像を生成
※(右 ) 70kV, 0.23秒/回転で撮影した心臓CT画像
形態評価から付加価値の高い機能評価へ
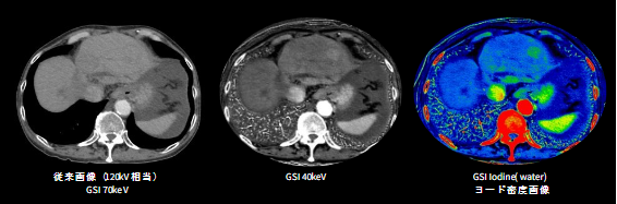
本製品では、従来のCT検査において主目的とされている形態評価にとどまらず、目的部位の機能情報の提供を実現しています。本製品では160mmカバレッジ、且つ最大1300mAが出力可能な次世代型Intelligent X線管球を搭載しており、電子ビームをmsec単位で集束・制御することで、管電圧ならびに管電流を変調させながら2つの異なるエネルギーデータを取得する(Synchronized kV/mA switching GSI)ことが可能です。
高エネルギーデータと低エネルギーデータをシグナルレベルで最適化させることで、低keV画像やヨード密度画像等MD画像の更なる高画質・高精度化を実現。低keV画像やヨード密度画像は、コントラストの向上が可能であるため、腫瘍の正確な描出、診断確信度の向上が期待でき、また従来CTでは得られなかった定量評価、付加価値の高い機能情報の提供を可能とします。

※ビュー毎の管電圧のスイッチングに合わせて管電流も変調させるSynchronized kV/mA switching GSIの概念図

※GSIでのヨードコントラスト強調画像による病変・関心部の描出能向上画像
Deep learningを用いた画像再構成アルゴリズム
本製品では、GEヘルスケアの40年以上のCT開発の歴史の中で培った画像再構成のノウハウ・膨大な画像データの中から、日本を含めた世界中の専門医からのフィードバックにより、最も診断しやすいとされた条件・画像データをGround Truth(教師画像)に採用し、ディープラーニングを用いて開発されたDeep Learning Image Reconstruction法TrueFidelity™ Imagingを搭載。空間分解能・画質を維持しながら、高いノイズ低減を実現し、特に頭部、腹部領域など密度分解能が重要とされる領域での読影負担軽減、診断能向上が期待できます。
TrueFidelity™ Imagingは全身領域での使用が可能であり、2つの異なるエネルギーで取得した画像データにも適応可能です。
本技術は、撮影条件のトレードオフなく、より低侵襲で、安心なCT検査の実現に貢献します。

AI・自動化技術が支える効率的かつ再現性の高い検査運用
CT装置は患者ごとに異なる体格や検査内容等、1検査・1患者ごとのニーズに応える必要があります。また、医療現場ではこれらの検査を短時間で、正確に、かつ患者への負担を最小限に抑えることが求められます。本製品ではCT検査のPre-Scan、Scan、Post-Scanの各工程において人工知能AI技術ならびに自動化技術を活用し、患者一人ひとりに最適な検査を提供することで個別化医療の前進に貢献します。

※AI・自動化技術を活用したEffortless Workflowの概念図
【Revolution】
全身用X線CT診断装置
マルチスライスCTスキャナ Revolution
医療機器認証番号: 226ACBZX00011000
【AW】
アドバンテージワークステーション
医療機器認証番号 20600BZY00483000
*1:厚生労働省 令和3年(2021)人口動態統計月報年計(概数)の概況
https://www.mhlw.go.jp/toukei/saikin/hw/jinkou/geppo/nengai21/dl/gaikyouR3.pdf
*2:内閣府 令和2年版高齢社会白書
https://www8.cao.go.jp/kourei/whitepaper/w-2020/html/zenbun/s1_1_1.html
GEヘルスケア・ジャパンについて
GEヘルスケア・ジャパン株式会社は、GEヘルスケアの中核拠点の1つとして1982年に創設されました。予防から診断、治療、経過観察・予後管理までをカバーする「プレシジョン・ヘルス」の実現を目指し、インテリジェント機器やデータ分析、ソフトウェア、サービス等を提供しています。国内に研究・開発、製造から販売、サービス部門までを持ち、日本のお客様のニーズにお応えしつつ、日本が直面する医療課題の解決に取り組んでいます。日本における社員数は約1,700名、本社および約60カ所の事業拠点があります。
詳細はホームページをご覧ください。
HP: https://www.gehealthcare.co.jp/

