デンタルケアオフィス クラルテ
デンタルケアオフィス クラルテ(本院:千葉県流山市、代表取締役:小木曽 哲)は、
通常1回分の費用で2回分の歯のホワイトニングが可能となる新プランを2022/8/16(火)より実施いたします。
【URL】https://www.dcoc.jp/blog/?p=1123

【実施内容】
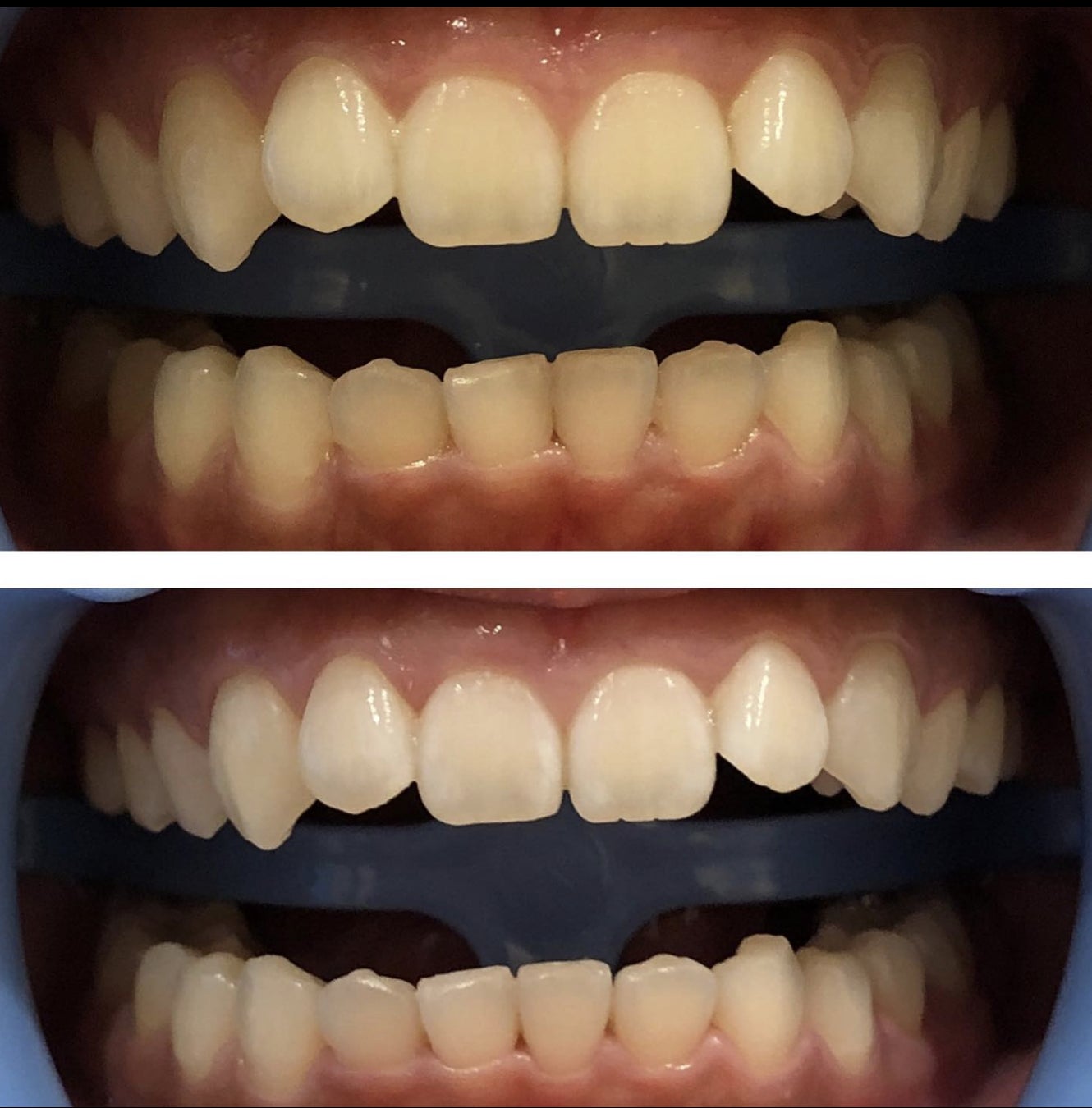
歯のホワイトニングをしたけどすぐに後戻りしてしまった・・・という失敗談をよく耳にする。
千葉県流山おおたかの森の歯科医院クラルテ(以下クラルテ)では「色の後戻り防止」「ムラのない仕上がり」のために必ず2回目のホワイトニング施術を行っているようだ。
また、2回目はなんと無料で施術が可能!
「ホワイトニングをしたけどすぐに色戻りしてしまうか心配・・・」
「2回もホワイトニングする費用が無い・・・」
という方に大変おすすめのプランとなっている。
【オフィスホワイトニング】院内施術で即日対応可能
・前歯3番目〜3番目(計12本):30,000円(税込)
・4番目(第一小臼歯)まで(計16本):35,000(税込)*オススメ
・5番目(第二小臼歯)まで(計20本):40,000(税込)
☆★上記の金額は、ホワイトニング2回目無料(初回のみ)
クラルテには院内施術が可能となるホワイトニング機材が取り揃えられている。
予約さえしていれば、即日で1回目のホワイトニングが可能だそうだ。
・結婚式直前
・急なデート
・被写体撮影前に
などを理由に駆け込みでホワイトニングを希望する方が殺到しているようだ。
意外なことにクラルテでは、男性のホワイトニング希望者が急増している。
近年の患者サイドによる審美思考の向上が伺える。

クラルテではホワイトニングの相談も無料。
施術時間はカウンセリング時間を含み90分程度
電話かウェブ予約で即日の対応が可能であり、
土曜日・日曜日も診療をしているので働く世代には嬉しい。
これを機に白い歯ライフを手に入れてみるのも良いかもしれない。
デンタルケアオフィス クラルテについて
2021年5月に流山市おおたかの森にて開業
先端テクノロジーを用いて地域の歯科予防に貢献することをモットーに診療を行う。
【会社概要】
会社名:デンタルケアオフィス クラルテ
所在地:千葉県流山市おおたかの森東4−37−26 エレガンテマノワール102
代表者:小木曽 哲
設立:2021/5
URL:https://www.dcoc.jp/
事業内容:一般歯科・審美歯科・矯正歯科・口腔外科・小児歯科etc.
【お客様からのお問い合わせ先】
《デンタルケアオフィス クラルテ 流山おおたかの森院》
TEL:047-197-7024(9:30-19:00)
e-mail:y.oda@dcoc.jp
ウェブ予約:https://apo-toolboxes.stransa.co.jp/user/web/39e14b51c06e81f46149fdb3ddc5f307/reservations

