
従来のEIRL Chest Screeningは、胸部X線画像から肺結節候補域を検出するEIRL Chest Nodule(2)と、胸腔内の空気含有面積・肋骨横隔膜角・心胸郭比・縦隔幅・大動脈弓径を自動計測するEIRL Chest Metry(3)の2つのソフトウェアを統合した製品でした。今回の新モデルでは、EIRL Chest Noduleに代えて、結節影だけでなく浸潤影、無気肺、間質性陰影を検出する機能を持つソフトウェア(販売名:医用画像解析ソフトウェア EIRL Chest XR、 承認番号:30400BZX00285000)を追加しました。新モデルの発売によって、健康診断のみならず日常診療等、膨大な検査数が実施される胸部X線検査をより包括的に支援することを目指します。
【結節影、浸潤影、無気肺、間質性陰影とは】 (4)
・結節影について
円形・類円形の陰影で悪性の肺腫瘍(肺がん)のほかに良性肺腫瘍や様々な限局性の肺疾患が疑われる所見です。
・浸潤影について
結節影よりも広い範囲に及ぶ陰影で、主に肺炎や肺結核などの肺感染症に見られる画像所見です。
・無気肺について
肺が虚脱した状態を示す所見で、肺葉レベルから末梢の細気管支レベルまで生じる可能性があります。
・間質性陰影について
索状影、網状影、線状影などの特徴をもつ間質が変化した場合の所見です。
【今回の機能追加の背景】
日常診療や、定期健康診断等で実施される胸部X線検査において、上記の異常陰影が見られた場合には、必要に応じて精密検査によって病変の確認を行います。所見によっては、重篤なものもあり、早期に発見し、適切な治療を行うことが重要です。
胸部X線検査は、被験者の被爆及び費用負担が少なく、比較的簡便に行うことができる検査であり、病院で最初に行う画像検査、人間ドックや健康診断に欠かせない項目となっています。しかし、その一方で撮像された画像の診断・読影は膨大な数となり、医師の負担は増大しています。そこで、医師の見落としリスクを低減するサポートとなるべく、今回の新機能を追加いたしました。
【新たに追加された機能】
3つの異常陰影領域(浸潤影・無気肺・間質性陰影)を検出
【検出精度について 】(5)
医師単独で読影した場合と比べ、本ソフトウェアを用いて読影した場合には、専門医で11.1%、経験5年未満の非専門医で15.5%の感度が上がることが認められました。また、読影試験における診断性能を表すJAFROC解析によるFOM(Figure of Merit)値は、本品を併用すると専門医で0.059ポイント向上し(p<0.001)、診断精度の向上が認められました。(6)
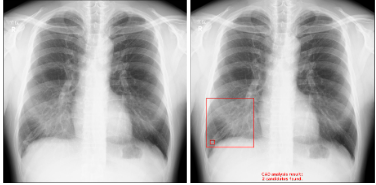
【画像例】
・浸潤影の内側に結節影がある症例

・右肺に無気肺がある症例

・間質性陰影が広がっている症例

(1)EIRL Chest Screeningは製品の総称です。 2022年2月3日:
胸部X線画像の読影診断を支援する EIRL Chest Screening、肺結節候補域の検出と5つの計測機能を有する新モデルとして販売開始(https://lpixel.net/news/press-release/2022/10501/)
(2)販売名:医用画像解析ソフトウェア EIRL X-Ray Lung nodule 承認番号:30200BZX00269000
(3)販売名:医用画像解析ソフトウェア EIRL Chest Metry 認証番号:302AGBZX00101000
(4)“胸部X線” 公益社団法人日本人間ドック学会. https://www.ningen-dock.jp/public/inspection/chest-x
(5)医用画像解析ソフトウェア EIRL Chest XRの読影試験の結果を記載しております。
(6)読影試験の詳細説明/異常陰影が認められる有所見画像88症例及び正常画像266症例の胸部単純X線画像を対象に、10名の医師による読影試験の結果。読影試験を行った10名の医師の内訳は以下の通り。放射線科専門医:3名、専門外医:7名(経験10年以上:3名、経験5年未満:4名
【製品に関するお問い合わせ】
エルピクセル株式会社 営業本部
TEL:03-6259-1713 Mail:eirl-cs@lpixel.net
URL:https://marketing.eirl.ai/ja/contact/
【AI画像診断支援技術について】
高度化するモダリティとともに、医療画像診断の作業は膨大化しています。AIを活用した独自のアルゴリズムによって、脳MRI、胸部X線などの医療画像情報を解析し、効率的で、正確な診断が出来る環境の提供を目指します。
EIRLプロダクトサイト(医療従事者向け):https://eirl.ai/ja/
【エルピクセル株式会社について】
エルピクセル株式会社は、ライフサイエンス領域の画像解析に強みを持ち、医療・製薬・農業分野において画像解析技術、とりわけ人工知能技術を応用することで、高精度のソフトウエアを開発してまいりました。医師の診断を支援するAI画像診断支援技術「EIRL(エイル)」、創薬に特化した画像解析AI「IMACEL(イマセル)」を軸に事業を展開しています。

